放射線科
業務内容
放射線科では、一般X線撮影、X線透視撮影、CT及びMRIを行っています。
診療放射線技師7名が在籍しており、丁寧な対応と撮影、医療被ばく低減を意識して業務を行っています。
近くの医院や診療所からのCT及びMRI検査のご依頼も受けており、読影結果を2日以内にお送りしておりますので、ぜひご利用ください。
一般X線撮影
一般撮影装置 RAD Speed PRO(島津)
ポータブル撮影装置 Mobil Art Evolution(島津)
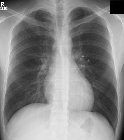
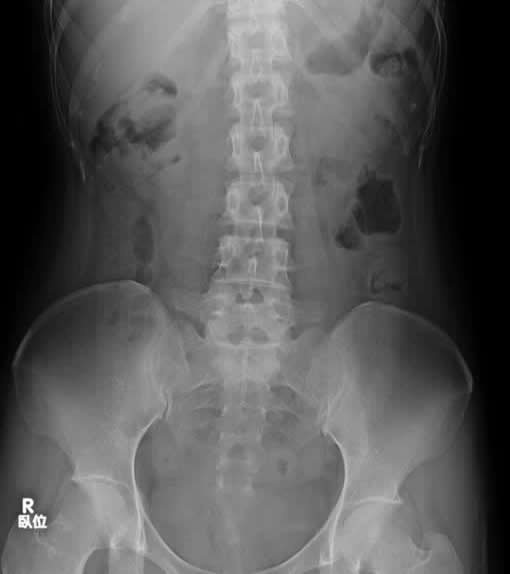
胸部、腹部、全身の骨・関節の撮影を行っています。当院では、FPD(フラットパネルディテクタ)システムにより、画像はデジタル化されており、被ばく低減や画質の安定性を実現しています。
患者様の少しの癒やしになればと、ポータブルに動物のシールを貼らせていただいております。
一般撮影装置(島津)

ポータブル撮影装置(島津)

胸部

腹部

X線透視撮影
X線透視装置Raffine-i(Canon)
X線TV装置とは、体を透過したX線をモニターで、リアルタイムに動画として見ることができます。
当院では、食道、胃、大腸などの消化管造影検査などを行っております。
X線透視装置(Canon)

胃透視

CT
Revolution Maxima
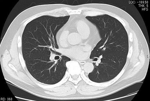
CTとはコンピュータ断層撮影(computed tomography)の略です。
CT検査は、ベッドをスライドさせながらX線撮影をし、それをコンピュータ処理して画像にする検査です。
当院では64列CTを導入し、従来のCT装置では難しかった心臓の検査をはじめ、データを3次元的に収集するため、あらゆる方向の画像を再構成でき、3D画像も作成できます。
64列になったことにより、速やかに、低被ばくで検査ができ、鮮明な画像を得ることができます。
CT装置(GE)

胸部

肋骨3D

MRI
Vantage Titan 1.5T(東芝)
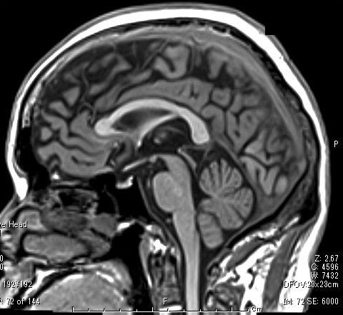
MRIとは核磁気共鳴画像(Magnetic Resonance Imaging)の略です。
MRI検査は、非常に強力な磁石でできた筒状の装置に入り、磁気や電波を利用して人体のさまざまな断面を撮影する検査です。X線撮影やCTのようにX線を使用していないため、放射線被ばくはありません。
当院では1.5テスラ超伝導式装置が導入されています。
検査空間も従来のMRI装置よりも広くなり、より開放感のある検査環境となっているため、閉所恐怖症の患者様や体格の大きな患者様もより快適に検査を受けられます。
また、静音性の技術が搭載されているので、騒音の少ない検査を受けられます。

頭部

腰椎

各部門のご案内